|
Βλάβες του επιχείλιου χόνδρου μπορεί να συμβούν σε όλα τα σημεία
του, αλλά ο πιο συχνός εντοπισμός είναι στο πρόσθιο κάτω τμήμα
(βλάβη Bankart)
και το ανώ τμήμα (βλάβη SLAP)
Βλάβη Bankart
Η βλάβη Bankart εχεί ως κύριο σύμπτωμα την πρόσθια κάτω ασταθεία.
Αυτή η αστάθεια έχει σαν αιτία το τραυματικό εξάρθρωμα ώμου ή
κάποιο χρόνιο μικροτραυματισμό. Το τραυματικό εξάρθρωμα, ιδιαίτερα
σε μικρές ηλικίες, οδηγεί συχνά σε καθ'έξιν εξάρθρημα (μέχρι 90%).
Γι' αυτό συζητείται, εάν κάθε πρώτο εξάρθρημα του ώμου πρέπει
να αρθρωσκοπείται, σε δραστήρια και νεαρά άτομα. Επίσης γνωρίζουμε
την άμεση σχέση της επιτυχίας μιας επέμβασης με τον αριθμό των
εξαρθρήματων που προηγήθηκαν.
Η βλάβη Bankart είναι η αποκόλληση του κάτω πρόσθιου τμήματος
του επιχείλιου χόνδρου. Στην επέμβαση γίνεται επανακαθήλωση αυτής
της βλάβης με την βοήθεια αγκυρών. Συγχρόνως γίνεται και μια μείωση
του όγκου του θυλάκου που έχει ξεχειλώσει από την αστάθεια.
Η βελτίωση της αρθρωσκοπικής χειρουργικής τεχνικής επιτρέπει
την επιτυχή αντιμετώπιση του καθ'έξιν εξαρθρήματος και των αποτυχημένων
ανοιχτών επεμβάσεων.
Το κλειδί της επιτυχίας αυτής της επέμβασης είναι η συχνά δύσκολη
αναγνώριση των συνοδών βλαβών και η αντιμετώπιση αυτών.
Νοσηλεία στην κλινική 1 ημέρα
video
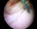
κινητοποίηση της βλάβης (αποκόλληση του επιχειλίου χόνδρου) (0.66MB)
video
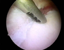
επιχειλίος χόνδρος μετά απο την αποκατάσταση (0.25MB)
αρχή σελίδας
Βλάβη SLAP
Αυτή η βλάβη είναι στο άνω τμήμα της γλήνης στο σημείο που εκφύεται
η μακρά κεφαλή του δικεφάλου μυός και ο επιχείλιος χόνδρος μαζί
στην γλήνη. Αυτή η πάθηση διαγιγνώσκεται ιδιαίτερα δύσκολα. Μόνο
η καλή κλινική εξέταση σε συνδυασμό με μια μαγνητική τομογραφία
με ενδοαρθρική έγχυση σκιαγραφικού οδηγεί με μεγάλο ποσοστό στην
διάγνωση. Η πάθηση αυτή συνοδεύεται συχνά από σύνδρομο πρόσκρουσης,
αλλά η απλή ακρωμιοπλαστική δεν οδηγεί σε μακροχρόνια βελτίωση
των συμπτωμάτων.
Η θεραπεία είναι ο καθαρισμός της βλάβης και η επανακαθήλωση
της μακράς κεφαλής του δικεφάλου μυός και του επιχείλιου χόνδρου
με τη βοήθεια αρθρωσκοπικών αγκυρών.
Νοσηλεία στην κλινική 1 ημέρα
Περισσότερες πληροφορίες θα δείτε και στο φυλλάδιο ενημέρωσης ασθενών που μεταφραστήκαν από τηνEλληνική Aρθοσκοπική Eταιρία (EAE)
αρχή σελίδας
|
 
Βλάβη Bankart πριν και μετά απο την αποκατάσταση

Ακτινογραφία που δείχνει τις άγκυρες μετά από
την αποκατάσταση μιας βλάβης Bankart


Μαγνιτική τομογραφία μιας βλάβης SLAP
|